
The Gonstead Technique
The Gonstead Technique is a highly precise, evidence-based chiropractic method that focuses on the diagnosis and correction of spinal subluxations, which are misalignments in the spine. Developed by Dr. Clarence S. Gonstead in 1923, this technique has become one of the most respected and widely used chiropractic methods worldwide.
How It Works
The Gonstead system is grounded in a detailed analysis of spinal biomechanics to identify these misalignments, known as subluxations. Such spinal subluxations can cause nerve interference, leading to pain, discomfort, and dysfunction throughout the body.
By using gentle, specific chiropractic adjustments, the Gonstead Technique corrects these misalignments, helping restore healthy spinal movement, reduce nerve irritation, and improve overall body function—all without medication or surgery.
What to Expect
The Gonstead approach is rooted in a thorough examination process to ensure that every chiropractic adjustment is tailored to your exact needs. This includes:
A complete case history to understand your health background.
A physical examination to evaluate posture, mobility, and areas of concern.
Digital X-rays to precisely identify spinal misalignments and disc conditions.
Once your subluxations are identified, a chiropractor applies a precise, hands-on adjustment to the affected spinal segment. Each chiropractic adjustment is highly targeted and specific—no unnecessary twisting or rotating—making Gonstead both safe and effective for patients of all ages.
Why Choose the Gonstead Technique?
- Precise and individualized care
- Safe, gentle, and effective adjustments
- Focuses on the root cause, not just symptoms
- Supports natural healing without drugs or surgery
At Best Life Chiropractic, we are proud to specialize in the Gonstead Technique because it allows us to provide the most accurate and effective care possible—helping you move better, feel better, and live your Best Life.

At Best Life Chiropractic, we specialize in delivering high-quality chiropractic care for individuals of all ages. Our goal is not just to manage symptoms, but to identify and correct spinal subluxations, which are often the root cause of your health concerns.
Every patient experience begins with a comprehensive consultation, where we take the time to listen and understand your unique symptoms and health history. This is followed by a thorough examination, allowing us to accurately assess your spine, nervous system, and overall function.
By combining careful analysis with personalized chiropractic adjustments, we create treatment plans designed to restore balance, relieve pain, and support long-term wellness—so you can truly live your Best Life.

Every patient experience begins with a comprehensive consultation, where we take the time to listen and understand your unique symptoms and health history. This is followed by a thorough examination that may include:
Posture and movement assessment – to evaluate balance, range of motion, and spinal function.
Palpation – gently checking the spine and muscles for areas of tension, swelling, or misalignment.
Neurological and orthopedic testing – to understand how your nerves, muscles, and joints are working together.
Digital X-rays (if necessary) – providing a clear, detailed view of your spine and structure for precise diagnosis.
This detailed process allows us to pinpoint the exact cause of your problem, including any spinal subluxations, and create a customized treatment plan. By combining advanced diagnostics with expert care, we ensure that every chiropractic adjustment is safe, specific, and effective—helping you heal faster and live your Best Life.

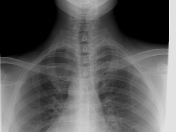
At Best Life Chiropractic, we believe that lasting health starts with a clear understanding of your spine and nervous system. That’s why we use state-of-the-art digital full-spine X-rays as part of our evaluation process. These images allow us to see the entire structure of your spine from top to bottom—not just one problem area—so we can provide the most precise and effective chiropractic adjustments possible.
Why Full-Spine X-Rays Matter
Many health problems don’t originate from just one spot in the spine. Issues in the neck can affect the shoulders, arms, and even lead to headaches, while problems in the lower back can influence the hips, knees, and feet. By viewing the entire spine under weight-bearing conditions, we can:
- Identify spinal subluxations (spinal misalignments) and postural imbalances
- Identify the Position and Condition of the Spine
- Detect disc problems, degeneration, or hidden injuries
- Understand how each part of the spine affects the body as a whole

After your consultation and examination, we take all of the findings—your health history, physical exam results, and any necessary digital X-rays—to design a personalized care plan that is tailored specifically to your needs and goals.
No two patients are alike, which is why your care plan will be unique to you. It may include:
Chiropractic adjustments using the precise Gonstead Technique to address spinal subluxations
Spinal decompression therapy to relieve pressure from discs and nerves
Class IV laser therapy to reduce inflammation and accelerate healing
Lifestyle and wellness recommendations for posture, movement, and long-term spinal health
Your plan will outline how often care is recommended, what treatments are included, and the goals we aim to achieve—whether that’s pain relief, improved function, or overall wellness.
At Best Life Chiropractic, we believe patients should be fully informed and involved in their care. We’ll walk you through every step, answer all your questions, and adjust your plan as your body heals—because our mission is to help you feel better, move better, and live your Best Life.
We love our customers, so feel free to visit during normal business hours.
Open today | 09:00 am – 06:00 pm |
Providing Chiropractic Care For You
Serving Overland Park, Leawood, Lenexa, and the Blue Valley School District Copyright © 2025 Best Life Chiropractic - All Rights Reserved.
We use cookies to analyze website traffic and optimize your website experience. By accepting our use of cookies, your data will be aggregated with all other user data.